Skip to content
Navigation Menu
Search for...
Navigation Menu
Search for...
Navigation Menu
Home
Education Resources
Lectures
eLearning
Image Repository
Literature
Rotation Resources
Rotation Documents
Instructions for Authors
Case Report List
Research
Global Ultrasound
Machine Solutions
Connect
Images – FAST
Normal eFAST
Return to Image Repository
Pelvis Free Fluid
Return to Image Repository
Positive FAST
Return to Image Repository
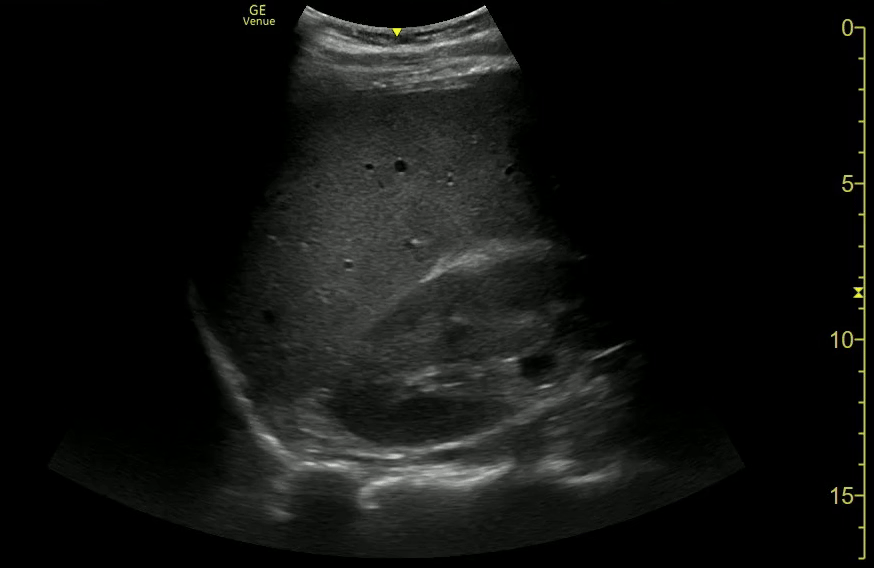
Hepatorenal Free Fluid (Morisons Pouch)
Return to Image Repository
Caudal Liver Free Fluid
Return to Image Repository
Splenic Laceration
Return to Image Repository