Skip to content
Navigation Menu
Search for...
Navigation Menu
Search for...
Navigation Menu
Home
Education Resources
Lectures
eLearning
Image Repository
Literature
Rotation Resources
Rotation Documents
Instructions for Authors
Case Report List
Research
Global Ultrasound
Machine Solutions
Connect
cardinalpocus
Positive FAST
Return to Image Repository
Hepatorenal Free Fluid (Morisons Pouch)
Return to Image Repository
Caudal Liver Free Fluid
Return to Image Repository
Splenic Laceration
Return to Image Repository
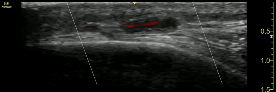
Superficial Thrombophlebitis
Return to Image Repository
Temporal Arteritis (Halo Sign)
Return to Image Repository
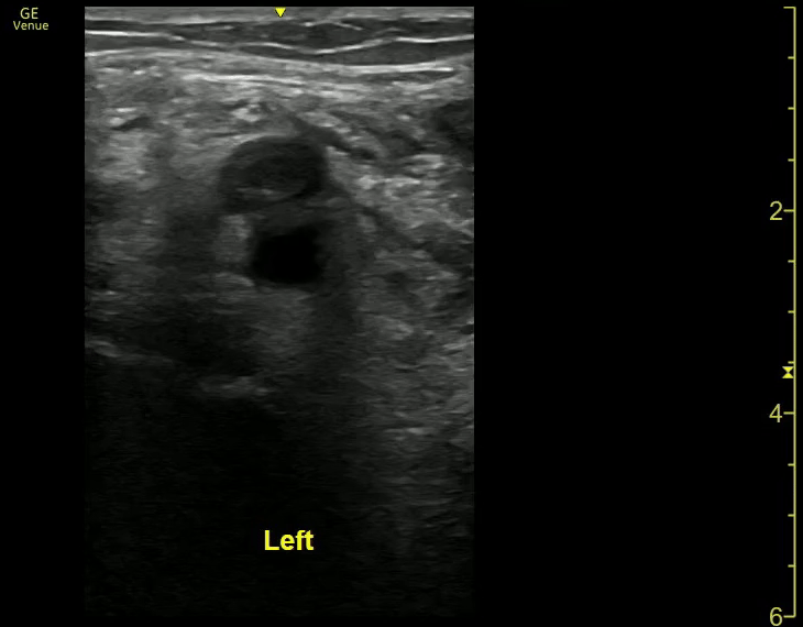
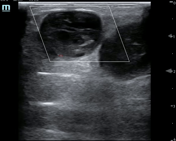
DVT 02
Return to Image Repository
DVT 01
Return to Image Repository
FASH Exam
Return to Narrated Lectures
QA
Return to Narrated Lectures
« Previous
1
…
14
15
16
17
18
…
25
Next »