Skip to content
Navigation Menu
Search for...
Navigation Menu
Search for...
Navigation Menu
Home
Education Resources
Lectures
eLearning
Image Repository
Literature
Rotation Resources
Rotation Documents
Instructions for Authors
Case Report List
Research
Global Ultrasound
Machine Solutions
Connect
Images – Echocardiography
Pericardial and Pleural Effusions
Return to Image Repository
Pericardial Effusion
Return to Image Repository
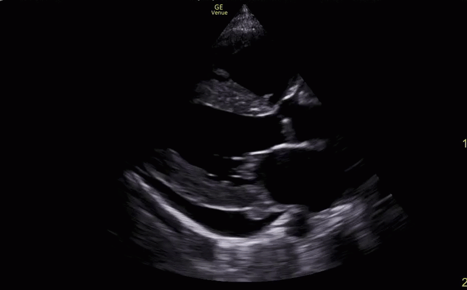
Pacer Lead Migration
Return to Image Repository
Mitral Valve Prolapse
Return to Image Repository
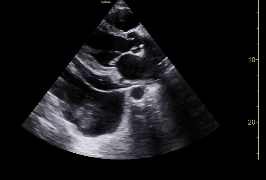
Left Atrial Mass
Return to Image Repository
Complete Heart Block
Return to Image Repository
Atrial Flutter
Return to Image Repository
Supine vs Left Lateral Decubitus
Return to Image Repository
Normal 4 View Echo
Return to Image Repository
« Previous
1
2